

이분은 78세의 남자다. 만성 소화불량으로 몇 년 전부터 필자가 맡고 있는 분이다.2012년 담낭 담석이 1개 있고 담낭 절제를 하고 가슴이 아프다고 하여 이후 관상동맥 ct를 시행하여 약 50%의 관상동맥 협착이 있다고 하였으나 더 이상의 처치는 하지 않았다. 역류성 식도염으로 투약을 하고 있으며 대개 현재까지 잘 견디고 있다.
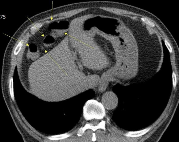
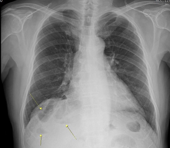
최근 이분의 여러 사진을 검토하는 과정에서 위 사진처럼 횡격막과 간 사이에 대장이 끼어 있는 것이 관찰되었으며, 이 마직막 사진에서는 그 부분의 대장에는 장의 약간의 마비를 시사하는 수면을 볼 수 있다.
이 분의 증상이 이른바 Chilaiditi 증후군이 아닐까 의심된다.이 분처럼 대장이 횡격막과 간 사이에 끼어 있는 현상을 Chilaiditisign이라고 한다. 이것이 확실한 증상을 가져온다는 것이 확인되면 Chilaiditi 증후군으로 진단한다. 그러나 이 병은 진단이 매우 어렵고 증상도 다양하다.
이 병은 19010년 그리스 방사선 의사인 Dimitrios Chilaiditi가 처음 기술했다 뚜렷한 증상은 오른쪽 윗배가 아픈데 다른 병으로는 설명할 수 없으며 이런 현상이 보이자 이 병을 의심한다
그러나 이처럼 대장이 치아에 끼어 보이는 경우는 비교적 적지 않고 만약 간경화가 심하면 간이 위축돼 이럴 수 있다며 이 현상을 보면 간질환을 의심해 볼 정도였다.
앞으로 이런 현상을 보이는 분들을 보면 관심을 갖고 검토할 필요가 있다고 본다.