환자증상확인 #두통 #어지럼증 #머리가 뭉클해지는 느낌 #가족력 #뇌동맥류 4년 전부터 발생한 지속적인 좌두통, 어지럼증, 머리가 뭉클해지는 느낌을 주소로 내원하였습니다. 상담 중에 환자의 가족력에 뇌동맥류 질환을 확인했습니다.검사진행 #MRI #뇌혈관MRI 진료 후 기본적인 혈액검사를 진행하였으며, 가족력과 오랫동안 지속되어 온 증상으로 뇌혈관 확인을 위해 MRA를 촬영하였습니다.
![]()
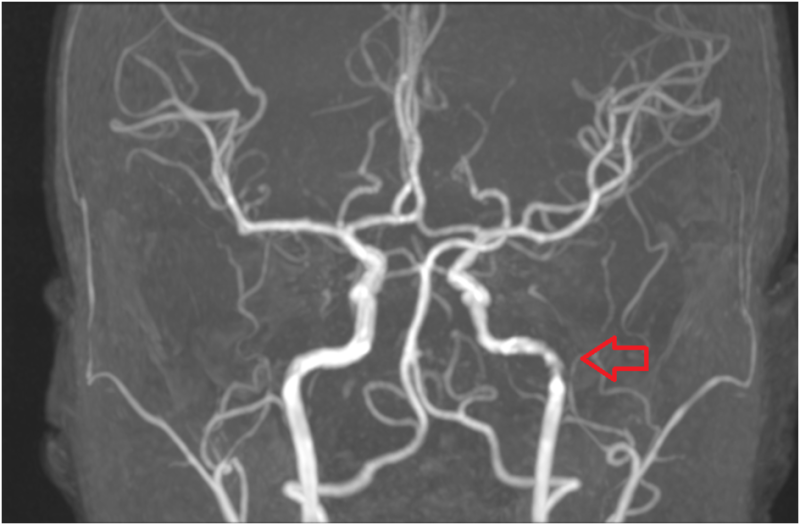
검사결과 #뇌혈관협착(#뇌혈관질환) 빨간 화살표는 왼쪽 뇌혈관이 좁아진 부위를 나타내며 환자의 증상과 일치하여 뇌혈관협착으로 인한 두통으로 확인되었습니다. 환자는 추가 조치(치료, 수술)가 필요한 상황에서 상급병원으로 전원되었습니다.
참고 자료

뇌혈관협착 뇌혈관에 이물질이 쌓이거나 염증이 있으면 혈관이 좁아지고 뇌혈관협착이 생길 수 있습니다. 대표적으로 뇌혈관이 좁아지거나 막혀서 생기는 허혈성 뇌졸중, 즉 뇌경색 위험이 높아지는데 뇌경색은 뇌졸중의 85% 이상을 차지하고 있습니다.뇌혈관협착은 특히 고혈압, 당뇨병, 고지혈증, 동맥경화 등 심혈관계 만성질환을 앓고 있는 사람들에게 더 흔합니다. 초기에는 별다른 증상이 없었는데 뇌혈관협착이 진행되면서 증상이 나타나기 시작합니다. 대표적으로 두통, 어지러움, 반복적으로 눈앞이 캄캄해지거나 반짝임, 둔탁한 말투, 감각 둔화, 손발에 힘이 빠지고 얼굴이 굳어지며 입이 돌아가는 안면신경마비 등이 있습니다. 관련 증상이 있는 경우 증상이 사라지더라도 전문의와 상의하여 적절한 검사와 치료를 받아야 합니다.
뇌혈관협착 뇌혈관에 이물질이 쌓이거나 염증이 있으면 혈관이 좁아지고 뇌혈관협착이 생길 수 있습니다. 대표적으로 뇌혈관이 좁아지거나 막혀서 생기는 허혈성 뇌졸중, 즉 뇌경색 위험이 높아지는데 뇌경색은 뇌졸중의 85% 이상을 차지하고 있습니다.뇌혈관협착은 특히 고혈압, 당뇨병, 고지혈증, 동맥경화 등 심혈관계 만성질환을 앓고 있는 사람들에게 더 흔합니다. 초기에는 별다른 증상이 없었는데 뇌혈관협착이 진행되면서 증상이 나타나기 시작합니다. 대표적으로 두통, 어지러움, 반복적으로 눈앞이 캄캄해지거나 반짝임, 둔탁한 말투, 감각 둔화, 손발에 힘이 빠지고 얼굴이 굳어지며 입이 돌아가는 안면신경마비 등이 있습니다. 관련 증상이 있는 경우 증상이 사라지더라도 전문의와 상의하여 적절한 검사와 치료를 받아야 합니다.

뇌혈관협착 뇌혈관에 이물질이 쌓이거나 염증이 있으면 혈관이 좁아지고 뇌혈관협착이 생길 수 있습니다. 대표적으로 뇌혈관이 좁아지거나 막혀서 생기는 허혈성 뇌졸중, 즉 뇌경색 위험이 높아지는데 뇌경색은 뇌졸중의 85% 이상을 차지하고 있습니다.뇌혈관협착은 특히 고혈압, 당뇨병, 고지혈증, 동맥경화 등 심혈관계 만성질환을 앓고 있는 사람들에게 더 흔합니다. 초기에는 별다른 증상이 없었는데 뇌혈관협착이 진행되면서 증상이 나타나기 시작합니다. 대표적으로 두통, 어지러움, 반복적으로 눈앞이 캄캄해지거나 반짝임, 둔탁한 말투, 감각 둔화, 손발에 힘이 빠지고 얼굴이 굳어지며 입이 돌아가는 안면신경마비 등이 있습니다. 관련 증상이 있는 경우 증상이 사라지더라도 전문의와 상의하여 적절한 검사와 치료를 받아야 합니다.
병원위치 : 경기 성남시 분당구 분당내곡로 131 판교텍원타워 지하1층, #판교내과, #판교역내과, #뇌정밀검사 판교역 1번출구, 주차시 2시간 무료연락처 : 1670-7571

지앤이알파돔메디컬센터의원 경기도 성남시 분당구 분당내곡로 131 판교 테크원타워 지하1층
지앤이알파돔메디컬센터의원 경기도 성남시 분당구 분당내곡로 131 판교 테크원타워 지하1층지앤이알파돔메디컬센터의원 경기도 성남시 분당구 분당내곡로 131 판교 테크원타워 지하1층https://www.youtube.com/watch?v=mrbFtxvP-jM