노령견 강아지 생식기에서 피 고름이 보여요강아지 자궁축농증 일산검단 24시 나움동물병원

안녕하세요 365일 가족의 마음으로 치료하는 일산검단 24시 나움동물병원입니다
11살 말티즈밍크가 최근 생식기에서 피고름 같은 것이 관찰되어 혹시나 하는 마음에 보호자께서 아이를 데리고 24시에 음동물병원을 방문하셨습니다.


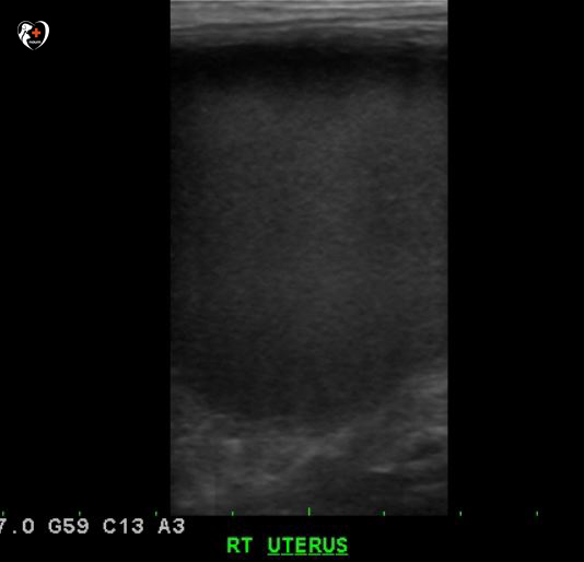
복부 초음파 검사를 실시하여 비뇨기계, 생식기계를 샅샅이 조사해 본 결과, 오른쪽 확장 자궁이 보였습니다.
오른쪽 사진을 보면 자궁이 크게 펼쳐져 있고 검은 부분이 잘려져 있군요?자궁축농증으로 인해 커진 것으로 확인되었습니다.
강아지 자궁축농증이란?
발정이 여러 번 반복되고 오랫동안 경부가 열린 상태에서 면역이 낮아진 상태에서 세균이 감염되어 증식하며 염증으로 자궁이 곪는 병입니다.



보호자에게 아이의 질병에 대해 설명을 듣고, 빨리 수술을 진행하기로 했습니다.
오른쪽 자궁이 너무 커져서 파열될 수 있기 때문입니다.
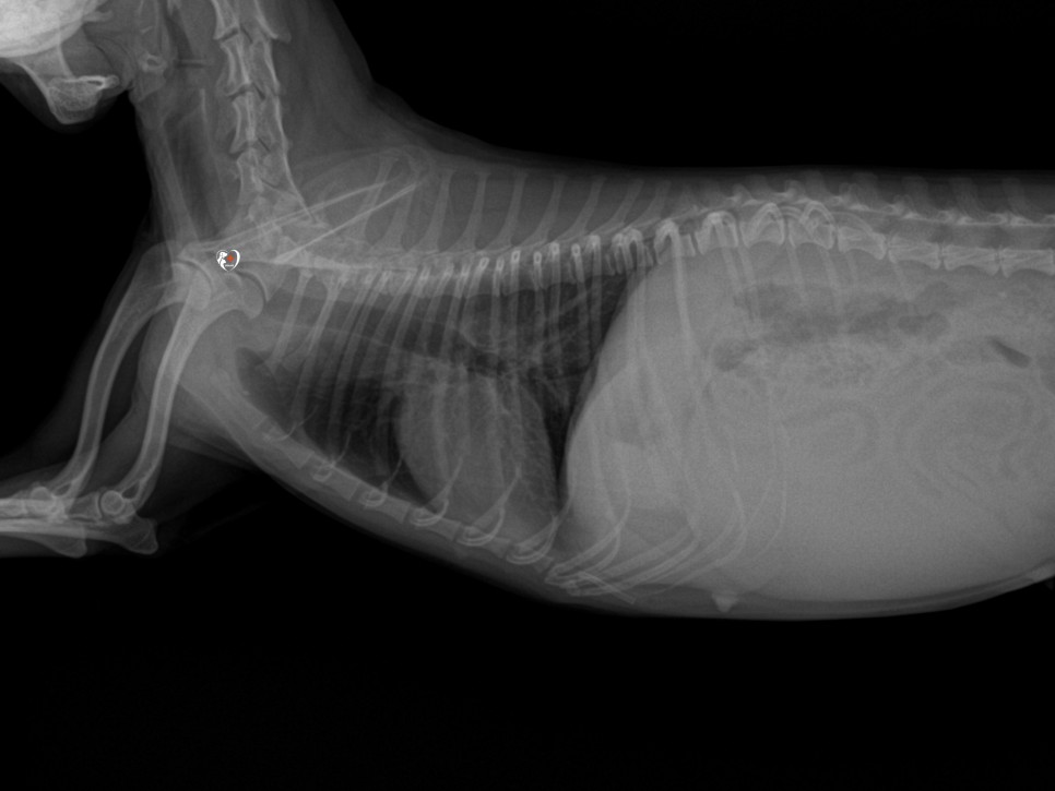
흉복부 X선 검사 결과는 양호했지만, 혈액 검사 상 빈혈 관찰이 되어 수혈을 먼저 한 후, 개의 자궁 축농증을 진행할 수 있었습니다.


개복을 하고 확장된 자궁을 복강 밖으로 내보내 보았습니다.
위에서 본 복부 초음파처럼 매우 커져 있는 오른쪽 자궁입니다.같은 자궁 축농증으로 24시나 음동물 병원에 내원한 경우와 비교해 볼까요?



왼쪽 사진이 크게 확장된 자궁이었음에도 밍크 자궁이 뚜렷하게 크게 확장되어 있네요?이런 경우 자궁이 갑자기 파열되면 복강 내 오염되어 패혈증, 복막염으로 인해 생명을 잃을 수 있습니다.
자궁축농증은 대부분 소리 없이 진행되기 때문에 증상이 나타나며, 병원을 방문할 때 긴급으로 수술을 진행할 수도 있습니다.따라서 중성화 수술을 하지 않은 암컷에게 발정이 끝났음에도 불구하고 혈액성 고름, 피고름이 보이면 병원을 방문하셔야 합니다.

밍크는 약 3일 입원했다가 퇴원하게 됐어요
강아지 자궁축농증의 경우 충분히 예방할 수 있는 질환인데 그 방법은 바로 “중성화 수술” 약물로 예방할 수 있다면 정말 좋겠지만 아직은 외과적인 방법으로만 예방이 가능하기 때문에 자각 계획이 없다면 적절한 시기에 중성화 수술을 하여 자궁축농증 뿐만 아니라 난소암, 유선종양 등 암컷 질환까지 예방할 수 있도록 하세요!
또한 만약 우리 아이가 발정 시 매우 민감하거나 심한 통증을 겪을 때는 그때도 중성화 수술을 하여 우리 아이가 발정 스트레스로부터 벗어나 삶의 질을 높이도록 하십시오.
