나의 갑상선암 이야기(20220804, 수술 후 첫 초음파 검사)

지난 수술 후 첫 검진 이후 그 사이에 3개월이 지났다.그동안 뭘 어떻게 지냈는지 모르겠어.육체적으로는 크게 변한 것 같지 않다. 새벽에 일어나 간단한 운동을 하는 일상은 수술 전과 같았다. 다만 운동량은 대폭 줄였다. 사실 수술 전에는 내가 생각해도 지나치게 운동을 했었다. 새벽에 턱걸이를 100번 넘게 하고 출근했으니까. 많이 했네.

이제 턱걸이는 일절 하지 않는다. 뭐랄까, 가슴이 뭉쳐서 아픈 느낌이다. 갑상선암의 원인은 방사선 노출 정도밖에 알려져 있지 않지만 많은 사람들이 과도한 스트레스를 범인으로 여긴다. 나도 그렇고. 하지만 굳이 수면까지 줄이면서 새벽에 운동을 하고 싶지 않았어.

내일 모레 40인데 굳이 등골이 필요할 것 같기도 하고. 뭘 먹는 건 적당히 먹으면서 맨살 운동을 하는 수준인데 몸이 그렇게 커지는 것도 아니고(또 크면 아무것도 할 수 없다). 다만 마른 몸에 살이 찌지 않으면 다행스럽게 알아야 한다.

육체적으로 크게 달라진 부분은 잘 모르지만 위에서 말했듯이 턱걸이를 할 때는 상당히 뻐근하다. 그리고 팔굽혀펴기도 수술하기 전에 비해서는 조금 버거운 느낌이 있는데 이건 아무것도 안 한다고 문제가 어느 정도는 아닌 것 같다. 사실 특별히 불편하지는 않다. 운동량 줄이면 되잖아. 다만 퇴근하고 집에 오면 눈이 어지럽고 졸릴 때가 종종 있지만 수술 후유증이나 약기대와 관련이 있는지는 잘 모르겠다. 기분 탓일 수도 있고.

마찬가지로 약 때문인지 모르겠지만 조금 우울한 느낌도 없지 않은 것 같다. 블로그를 가족들도 가끔 보고 이런저런 이야기를 쓰기는 그렇지만 수술 전에 비하면 조금 무기력하고 감정 변화가 조금씩 사라지는 기분이다. 시간이 지나면 조금씩 익숙해지겠지. 수치가 잘 나와서 약을 안 먹을 수도 있고.

지난 3월에는 코로나19에 한 차례 확진된 적도 있지만 지난달에는 감기에 걸려 몹시 고생했다. 신속항원검사를 두 차례나 했지만 검사 결과는 완전 음성이었다. 그래서 코로나는 아닌 것 같은데 태어나서 그렇게 콧물과 가래가 많이 나온 적이 없는 것 같다. 매일 콧물, 가래와의 싸움이었다.

목 통증도 상당히 심한 편이었는데 사실 그럴 리가 없는데 목만 아픈 것만으로도 “혹시?” 하면서 갑상선 걱정을 하게 된다. 갑상선암이 재발 또는 전이됐다 하더라도 그게 이렇게 통증으로 느껴질 리가 없고 저는 반절제 수술을 이미 마쳤기 때문에 림프절이라면 더 귀 쪽으로 올라가 통증이 와야 하는데 어쨌든 목이 아프면 심리적으로 위축된다. 이런 게 사실 제일 불편해.

어쨌든 육체적으로는 그렇고. 수술 후에는 책을 읽고 이렇게 블로그에 글을 많이 쓴다. 뭔가 할 수 있었다는 것은 좋은 일이다. 수술일이 다가올수록 수술이 끝나면 블로그를 다시 시작하고 갑상선암 수술과 관련된 경험과 생각을 함께 업로드해 많은 사람에게 정보를 제공하면 좋겠다고 생각했지만 거의 매일 많은 사람들이 이 블로그에 들어와 글을 읽고 댓글도 남긴다. 서평도 쓰고 미국 주식 얘기도 쓰고 부동산 얘기도 쓰지만 갑상선암 이야기는 조회수가 늘어도 기분이 좋지 않다.

그건 누군가 암 선고를 받고 고민 끝에 블로그 검색을 해서 유입됐다는 뜻이기 때문에. 나도 이때가 제일 힘들었던 것 같아. 왜 나에게 이런 일이 일어났을까?

© ddabong21, 출처 Pixabai 어쨌든 3개월간 신디로이드 0.375mg은 매일 아침 투약했다. 이번 주에 채혈이 있다는 건 알고 있었지만 초음파 검사도 있다는 사실은 머릿속으로 까맣게 잊고 있었다. 안그래도 왜 채혈만 하고 초음파 검사는 안해? 하다가 중앙대병원에서 보낸 메일을 받고서야 초음파 검사도 함께 한다는 사실을 알게 됐다. 하아….

하마터면 꼬일 뻔했다. 채혈만 할 경우에는 언제든지 가서 검사하면 되기 때문에 아침 일찍 병원에 들렀다가 회사로 출근할 생각이었는데 초음파 검사는 15:20이었기 때문이다. 나도 안 그럴 뻔했어.

채혈을 앞두고 8시간 단식은 제가 달력에 미리 메모를 해놨는데 아침에 신드롬은 먹어도 되는지 잘 몰라서 병원에 전화해서 물어봤다. 채혈할 때는 신디로이드는 먹지 말고 오라고 해서 그랬다. 전화를 끊으면 검사 후에는 신디로이드를 마셔야 합니까? 들을걸 그랬어. 모르겠어 하루 안 먹는다고 큰일나는건 아니니까.

검사 전날 전배를 앞두고 있었기 때문에 회식을 했다. 채혈 전날 고기를 먹지 말라는 소리가 없어 소갈비를 호강스럽게 먹었다. 그리고 새벽에 일어나서 빵이라도 한 쪽 마실까 말까 했는데 아내가 새벽에 조금 마시는 정도는 혈액 검사에 큰 영향을 미치지 않는다며 빵과 커피 우유를 하나 마셨다. 6시에 먹었기 때문에 사실 15:00에 채혈을 했다고 해도 이미 9시간 금식이라 가이드를 어긴 것은 아니다.

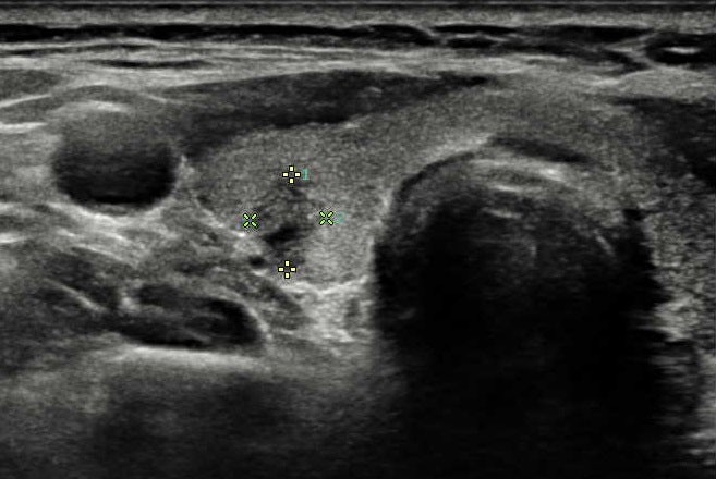
회사에서 14시가 넘어 나와 남태룡 고개를 지나 흑석동 중앙대병원에 도착했다. 이 시간에는 처음 와봤는데 주차장이 웬만한 불편을 느낄 정도는 아니라 차로 올 만하다. 접수해 수납한 뒤 중앙관으로 내려가 채혈부터 했다. 그리고 이어 초음파 검사를 받고 대기했지만 무려 40~50분 정도 지연됐다.

와… 배고픈데… 아무튼 내가 마지막 환자였나봐. 나를 마지막으로 목요일 검사가 모두 끝난 것 같아. 초음파 검사는 항상 긴장되지만 어제도 그랬다. 뭔가 결절이 보이나요?하고 물어보고 싶었지만 의사도 귀찮아 보여 그만 따라붙었다. 뭔가 결절이 보였다면 기계로 사이즈를 체크했을 텐데 딱히 그런 일은 없을 것 같았다. 대화 한마디 없이 초음파 검사는 그렇게 끝났다. 뭐 잘 되니까 말이 없겠지?

채도 조절해 더 무서워 보이는 ‘고’병원을 나와 배가 고팠지만 혼자 와서 뭘 먹어야 할지 고민했다.또 맥도날드 햄버거를 먹을까 했는데 홍콩 반점이 보여서 들어가서 짬밥을 먹었다.배부르게 먹었네. 이곳 중앙대학교에서 대학원을 2년 다녔지만 프랜차이즈 외에는 망하는 일도 많이 실패했고, 골목에 있는 식당은 혼자 들어가서 뭘 시켜 먹을 수도 없고 별로 갈 곳도 없었다.

그냥 홍콩반점에서 먹었어. 학교 앞은 평일임에도 불구하고 사람이 많은 편이었다. 휴~ 다음주에 결과를 들으러 다시 와야 하는데 다음주는 휴가를 내고 오는 만큼 좀 더 편하게 진료받고 끝나고 더 맛있는 걸로 사먹자.

병원에서 내려다본 구로이시 초등학교

error: Content is protected !!